LOLDentalLogoTransparent2025.svg

See Our Smiles

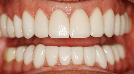
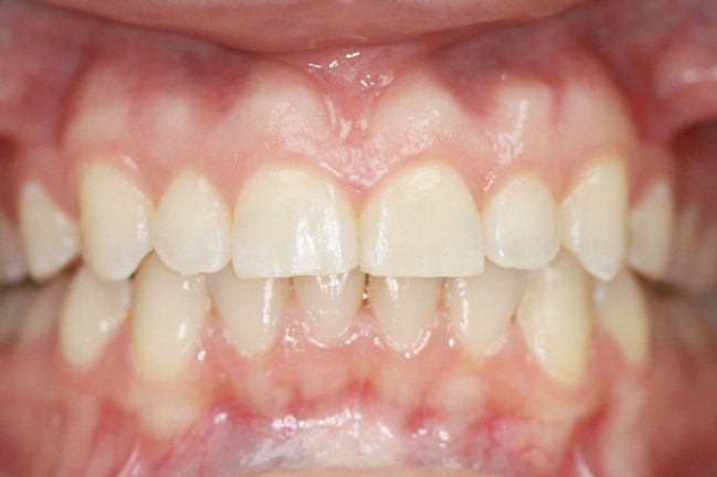
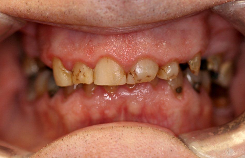
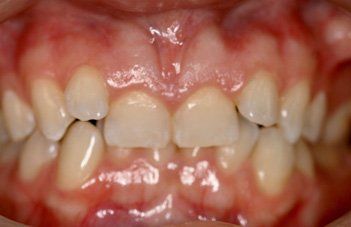
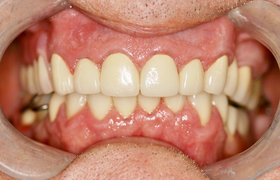
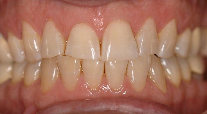
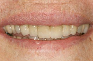
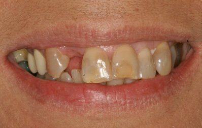
View real before-and-after photos from patients treated by the Land O’ Lakes Dental Care team, highlighting results in general, cosmetic, and orthodontic dentistry. These transformations reflect personalized care for patients of all ages in Land O’ Lakes and nearby communities.

land O' Lakes Dental Care Teeth close up land O' Lakes Dental Care Teeth close up
land O' Lakes Dental Care Teeth close up land O' Lakes Dental Care Teeth close up
land O' Lakes Dental Care Teeth close up land O' Lakes Dental Care Teeth close up
land O' Lakes Dental Care Teeth close up land O' Lakes Dental Care Teeth close up
land O' Lakes Dental Care Teeth close up land O' Lakes Dental Care Teeth close up
land O' Lakes Dental Care Teeth close up land O' Lakes Dental Care Teeth close up